Retour
  • Sciences de la Vie et de la Terre (SVT)
  • Accueil
  • !
  • Connexion
  • ar عربية
  • en English
  • Retour au Cours
  • Retour à la section
  • Signaler une erreur
  • 01 mai 2019

La nature du vivant - Exercices 2

  1. Sciences de la Vie et de la Terre (SVT): Seconde
  2. Thème 1 : La Terre, une planète habitée
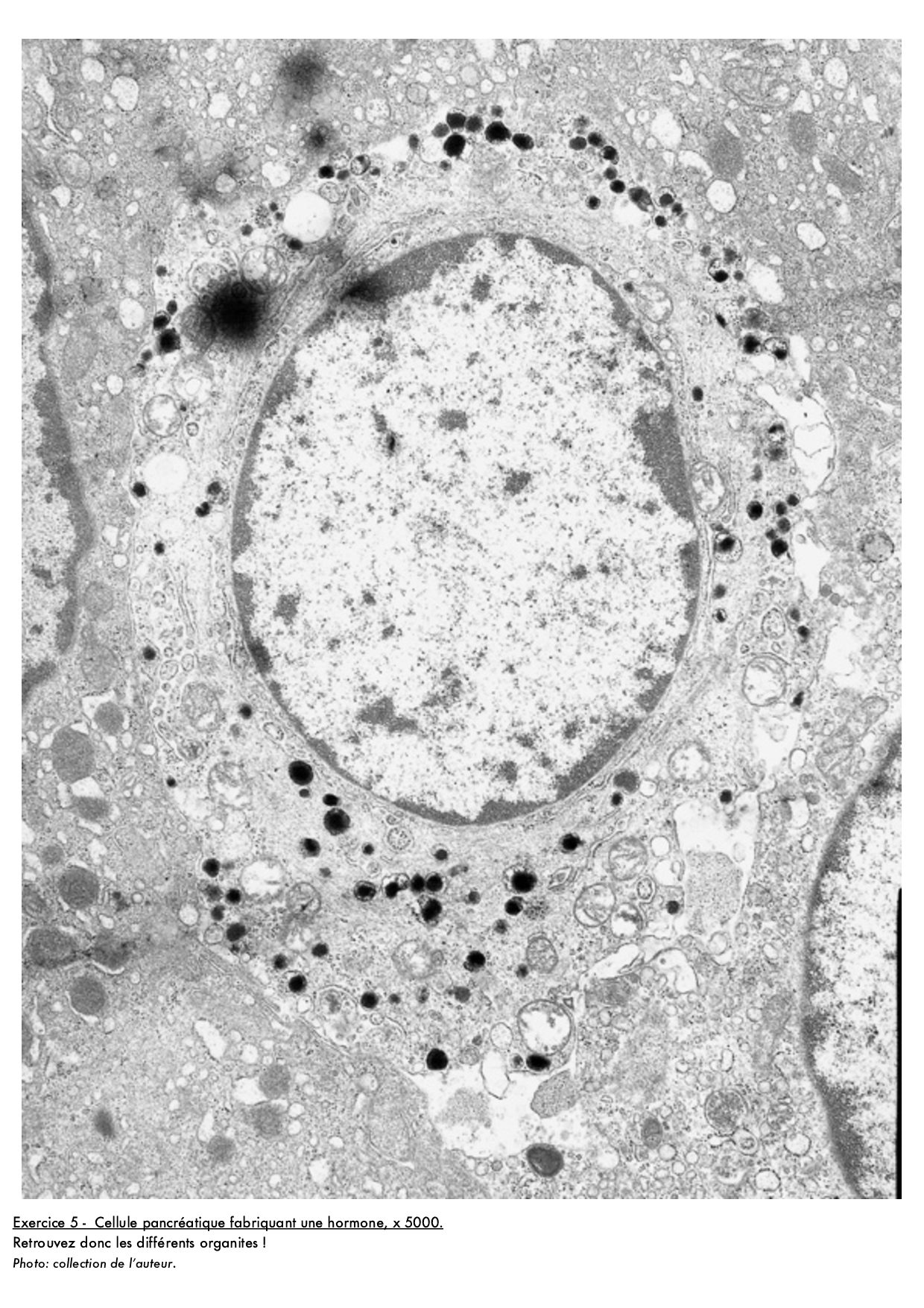
  3. La nature du vivant - Exercices 2
Téléchargez le document
Retour
Maroc
  • Primaire
  • Collège
  • Lycée
France
  • Primaire
  • Collège
  • Lycée
Plus
  • Prépas CPGE
  • Divertissement
  • Vocabulaire
  • Connexion
  • S'inscrire
  • CGU
  • CGV
  • Contact

© 2026 AlloSchool. Tous droits réservés.

Rechercher